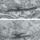
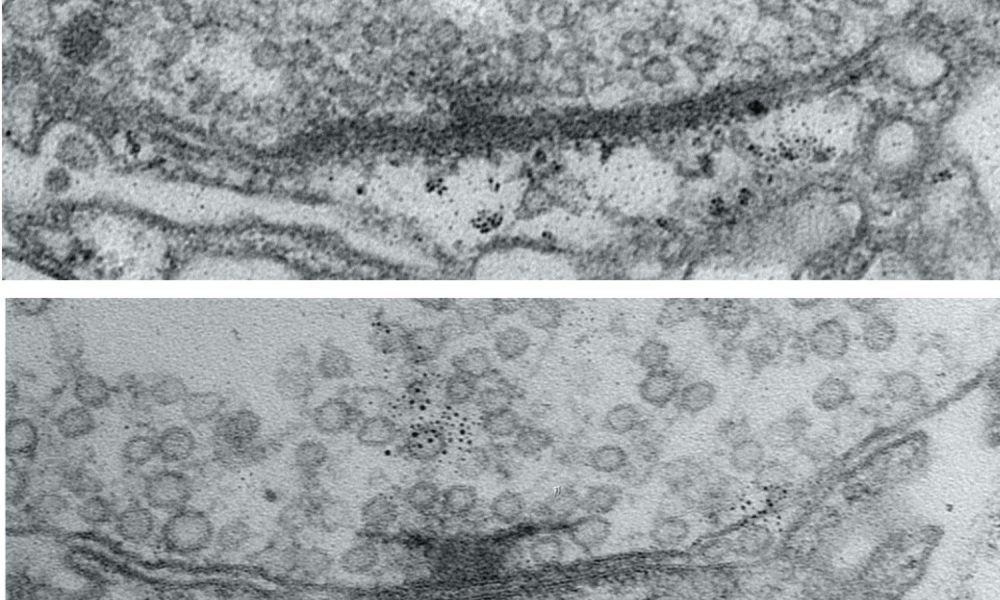
Η έρευνα του MIT αποκαλύπτει πώς η νευρωνική δραστηριότητα ωριμάζει τις συνάψεις, με προοπτική για ρυθμίσεις στις νευρολογικές διαταραχές.
Η πιθανότητα να αποκτήσετε αγόρι ή κορίτσι μπορεί να μην είναι 50/50, σύμφωνα με νέα έρευνα που εξετάζει τη βιολογία και τη συμπεριφορά.
Οι ερευνητές του MIT αναπτύσσουν ένα νέο πλαίσιο για τη μελέτη σύνθετων αλληλεπιδράσεων θεραπειών, βελτιώνοντας την ακρίβεια των πειραμάτων.
Η τεχνητή νοημοσύνη επαναστατεί στη μελέτη των πρωτεϊνών, προβλέποντας τη θέση τους σε κυτταρικές σειρές με ακρίβεια.
Η AMPLY Discovery εξασφάλισε $1,75M για να αναπτύξει θεραπείες με AI για καρκίνους και ανθεκτικές λοιμώξεις, φέρνοντας επανάσταση στην ιατρική.>